대상포진 전국 치료병원 치료방법 무료접종대상 총정리
대상포진 전국 치료병원 치료방법 무료접종대상
대상포진이란?
대상포진은 수두 대상포진 바이러스에 의해 발생하는 질환으로, 특히 면역 체계가 약화될 때 활성화되어 나타납니다. 이 질환은 어릴 때 수두를 일으킨 바이러스가 몸속에 잠복해 있다가 다시 활성화되는 것이 특징입니다. 대상포진의 증상과 원인에 대해 자세히 알아보겠습니다. 🙂
대상포진의 원인과 증상
대상포진의 원인
- 면역 체계 약화: 고령, 면역 억제제 사용, HIV/AIDS, 암, 스트레스 등으로 인한 면역 체계의 약화가 주요 원인입니다.
- 수두 대상포진 바이러스: 어릴 때 수두를 일으킨 바이러스가 몸속에 잠복해 있다가 면역 체계가 약화될 때 활성화됩니다.
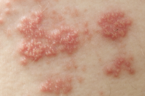
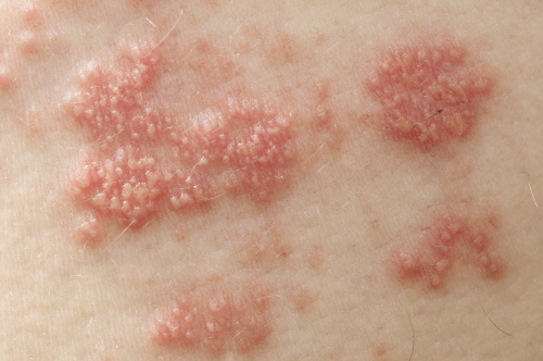
대상포진의 증상
- 피부 증상: 피부에 불쾌감과 통증이 시작되며, 띠 모양의 발진과 수포가 나타납니다.
- 신경통: 발진이 사라진 후에도 신경통과 같은 통증이 지속될 수 있습니다.
- 기타 증상: 초기에는 오한과 발열 등의 증상이 나타날 수 있습니다.
대상포진은 적절한 치료를 통해 관리할 수 있으며, 예방 접종을 통해 발병 위험을 줄일 수 있습니다. 면역 체계를 강화하고, 스트레스를 관리하는 것도 중요해요! 🌟



전국 대상포진 예방접종 및 치료 병원 정보
서울
강남베스트내과
- 특징: 서울시 광평로에 위치한 내과로, 대상포진 치료 서비스를 제공합니다.
- 주소: 서울시 광평로 281 2층일부 (효성빌딩)
- 연락처: 1566-0115
- 병원 바로가기>>
드림종합병원
- 특징: 대상포진 클리닉을 운영하며, 수두 바이러스가 신경근에 잠복해 있을 때 발병하는 대상포진의 치료를 전문적으로 제공합니다.
- 서비스: 대상포진 초기증상 판단, 대증요법, 항바이러스 약제 복용 및 신경차단술, 대상포진 예방접종 가능.
- 병원 바로가기>>



경기도
프라임병원
- 특징: 통증클리닉에서 다양한 통증 치료 방법과 대상포진 관련 치료를 제공합니다.
- 서비스: 대상포진은 수두 바이러스로 인한 피부 신경질환으로, 치료가 필요한 경우와 초기 증상에 대한 안내가 제공됩니다.
- 연락처: 1588.7542
- 온라인 예약: 네이버 예약 가능
- 병원 바로가기>>
분당 서현로 위치 병원
- 특징: 55세까지 대상포진 예방접종 3회 진행, 다양한 통증성 질환 치료.
- 주소: 경기도 성남시 분당구 서현로 180번길 20
- 병원 바로가기>>
제로페인 클리닉
- 특징: 척추 신경의 심한 통증 부위에 얇은 특수 카테터를 삽입하여 대상포진 통증 치료를 위한 약물을 지속적으로 투여합니다.
- 클리닉 바로가기>>



강원도
원주프라임병원
- 특징: 대상포진은 신경계에 손상을 주는 심각한 질병으로, 적절한 치료 없이 방치할 경우 장기적인 합병증을 유발할 수 있습니다.
- 주소: 강원도 원주시 인동 원일로 22
- 연락처: 1899-1188
- 병원 바로가기>>
중앙병원
- 특징: 대상포진 예방접종을 필요로 하는 분들을 위해 제공되며, 내과 및 재활의학과 등에서 예방접종 서비스를 제공합니다. 예방접종은 재고가 있는 동안에만 가능합니다.
- 병원 바로가기>>
충청도
충청남도중앙의료원
- 특징: 마취 및 통증 클리닉을 통해 대상포진, 암 통증, 요통, 좌골신경통 등 다양한 통증 치료를 제공합니다.
- 병원 바로가기>>
백제병원
- 특징: 대상포진 후 신경통으로 인한 만성적인 통증을 겪는 환자들에게도 치료 서비스를 제공합니다.
- 병원 바로가기>>



전라도
목포중앙병원
- 특징: 대상포진 치료를 위한 다양한 진료 서비스를 제공합니다.
- 병원 바로가기>>
상무병원
- 특징: 대상포진 바이러스 검사(PCR), 항체검사를 시행하며 해당 바이러스에 의한 치료를 진행합니다.
- 병원 바로가기>>



경상도
김해굿모닝병원
- 특징: 대상포진의 초기 증상부터 치료까지 전문적인 서비스를 제공합니다.
- 병원 바로가기>>
메트로병원
- 특징: 대상포진에 대한 항바이러스제 치료를 신속하게 진행하여 효과적인 결과를 도모합니다.
- 병원 바로가기>>



대상포진 무료 예방접종 대상과 방법
159
대상포진 예방접종 대상
- 대상: 만 50세 이상 성인
- 이유: 나이가 많을수록 대상포진 발병 빈도가 높기 때문입니다.
예방접종 방법
- 접종 종류: 대상포진 예방접종에는 1회 접종하는 생백신과 2개월 간격으로 총 2회 접종하는 사백신(유전자재조합) 두 가지 종류가 있습니다.
- 주의사항: 생백신은 면역력이 저하된 상태에서 접종 시 대상포진 발생 가능성이 있으므로 주의가 필요합니다. 대상포진에 걸린 경우, 예방접종은 대상포진 급성기 증상이 지나고 6개월~1년 후에 시행하는 것이 권장됩니다.
예방접종의 효과
- 효과: 대상포진 발생률 감소 및 대상포진 후유증인 신경통 발생률 감소에 도움을 줍니다.
대상포진 예방접종은 건강한 노후를 위해 매우 중요합니다. 만 50세 이상 성인이라면 예방접종을 통해 대상포진으로부터 자신을 보호할 수 있습니다. 예방접종에 대한 자세한 정보는 가까운 보건소나 병원에 문의하여 상담받으시길 바랍니다. 건강을 지키는 첫걸음, 대상포진 예방접종으로 시작하세요! 💉🌟



다른 관련 글 확인하기
대상포진 병원 어떤 과로 가나요 대상포진 전문치료병원 치료방법(최신)
대상포진 병원 어떤 과로 가나요 대상포진 전문치료병원 치료방법(최신)
대상포진 병원 어떤과로 가나요 대상포진이란? 대상포진은 수두 바이러스에 의해 발생하는 질환입니다. 수두 바이러스는 한 번 감염되면 평생 몸속에 잠복해 있다가 면역력이 떨어지면 재활성
1.whiteoutsoda.com
대상포진에 좋은 음식 영양제 BEST 18가지 식품 총정리 (최신)
대상포진에 좋은 음식 영양제 BEST 18가지 식품 총정리 (최신)
대상포진에 좋은 음식 영양제 추천 대상포진이란? 대상포진은 수두-대상포진 바이러스(VZV)에 의해 발생하는 질병으로, 수두에 걸렸던 사람의 신경 세포 내에 바이러스가 잠복해 있다가 면역 체
1.whiteoutsoda.com